AI機能を搭載したエコー(超音波診断装置)がGEヘルスケアより発売されましたので調べてみました。
GEヘルスケア、心エコー検査支援AI発売 操作法を指南
日本経済新聞 2025年9月19日 記事より引用
https://www.nikkei.com/article/DGXZQOUC193KF0Z10C25A9000000/
GEヘルスケア・テクノロジーズの日本法人、GEヘルスケア・ジャパン(東京都日野市)は19日、超音波で検査する心エコー用の人工知能(AI)サービスを始めたと発表した。機器の最適な利用方法をAIが指南し、画像も自動で撮影する。検査経験の乏しい医療従事者でも検査できるようにする。在宅医療の需要も見込む。
持ち運びできる小型の超音波診断機器「Vscan Air SL」に搭載した。タブレット端末やスマートフォンと連携させて使う。
AIの説明に従えば熟練者でない医師や看護師でも検査の精度を高められる。
検査結果の算出もAIが担う。心機能の指標として使われる左心室の収縮度について、推定値を示す機能を備えた。
5万件以上の心エコー画像を深層学習させた独自のアルゴリズムで正確に数値計算できるようにした。
サービスの希望小売価格は税別18万円。

詳細を確認してみましょう!
GEヘルスケア・ジャパン、超音波診断装置「Vscan」シリーズにAI機能を初搭載した「Vscan Air SL Ally」を販売開始
2025年9月19日 GEヘルスケア・ジャパン プレスリリースより引用
https://www.gehealthcare.co.jp/event-and-news/news-and-initiatives/2025/press10
医療の課題解決に取り組むヘルスケアカンパニー、GEヘルスケア・ジャパン株式会社(本社:東京都日野市、代表取締役社長兼CEO:若林 正基、以下GEヘルスケア)は、ポケットサイズの超音波診断装置「Vscan」シリーズにAI機能を初搭載した「Vscan Air SL Ally」を9月19日より日本で販売いたします。
「Vscan」シリーズの進化
GEヘルスケアの「Vscan」シリーズは、患者さんにとって体への負担の少ない非侵襲で、かつ場所を問わず簡便に画像診断を可能にする手のひらサイズの超音波診断装置(ポケットエコー)です。日本では、2010年の発売開始以来、聴診器のように持ち運べる手軽さと患者アクセスの良さから、これまでに国内で約15,000台以上の販売実績を誇ります。2021年にはワイヤレス化を実現し、今回2つのAI機能を初搭載した「Vscan Air SL Ally」は、同シリーズの最新モデルです。
新発売「Vscan Air SL Ally」のAI機能
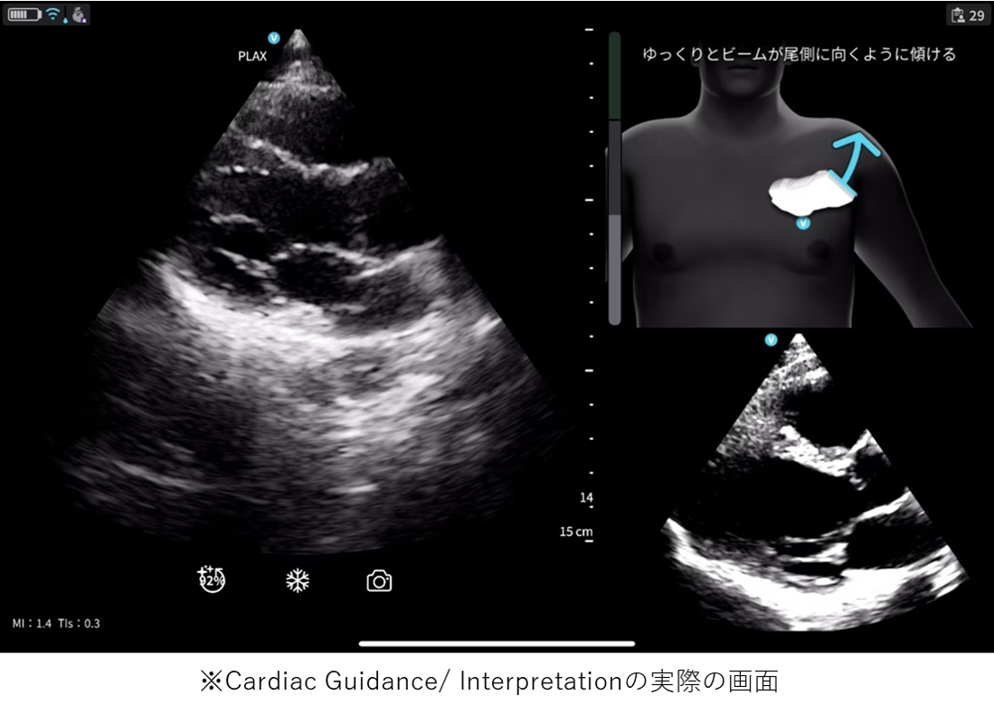
「Vscan Air SL Ally」には、心エコー検査をサポートするCardiac Guidance機能とCardiac Interpretation機能が備わっています。Cardiac Guidanceは、検査手技をAIがリアルタイムでガイドしながら、画像の品質を担保し、一方のCardiac Interpretationは、取得した画像をAIが解析し、診断精度を引き上げます。
心エコー検査の質は術者のスキルに大きく依存しますが、これらの機能が、スキル依存性の低減、検査精度の向上、ワークフローの効率化に大きく貢献することが期待されています。

新機能の特長
1. Cardiac Guidance
リアルタイムで操作者をサポートするガイド機能で、プローブ(探触子)の位置、角度、肋間操作、深度を画面上で指示し、より正確で高品質な画像取得をサポートします。さらに、画像品質のインジケータ機能を備えており、最適なスキャン画像が得られているか否かを判定します。また、一定レベル以上の品質を認識した際には、プローブを一定時間保持することで自動的に画像を保存します。Cardiac Guidanceの機能により、複雑な心エコー検査を簡便かつ正確に実施することが可能となり、臨床現場だけでなく、大学や基幹病院のトレーニングセンターでの教育利用にも「Vscan Air SL Ally」の導入が期待されます。
2. Cardiac Interpretation(Auto EF機能)
Cardiac Guidanceで取得された高品質画像をもとに、LVEF(左室駆出率)を自動算出します。本機能のAIでは、5万件以上の心エコー画像をディープラーニングしたアルゴリズムを使用し、熟練読影者が行う「Visual EF」推定能力を再現しました。複数の査読付き論文で熟練者と同等の再現性が検証されています。最小1断面を3秒で計測することが可能となり、最大3断面を参照することで精度がさらに向上し、短時間で定量的な心機能評価を実現します。同機能は、診断の質とスピードを両立する革新的なソリューションとして、今後ますます多くの臨床現場での導入が見込まれています。

今回リリースするCardiac GuidanceとCardiac Interpretationは、すでに「Vscan Air SL」をお持ちのお客様へ有償アップグレードとして提供することが可能となり、より多くの医療現場へスピード感ある貢献を目指してまいります。
高齢化社会と心不全増加による医療現場の課題
日本では高齢化に伴い、心不全患者が年々増加しています。同時に今後15年は在宅医療の需要もピークに達し、開業医、在宅医などプライマリケア医療における心エコーのニーズが高まると言われています。そのような中、心エコー検査は、隠れ心不全の早期発見に不可欠な手段である一方、その質は術者のスキルに大きく左右され、「検者間誤差」が長年の課題とされてきました。
当社の調査によると、心エコーを実施する開業医・在宅医のうち、約10%が検査に自信を持てていないことが判明しました。加えて、自信がないという理由から日常診療において心エコーを実施していない実態も見えてきました。
この度日本で発売される「Vscan Air SL Ally」の名称の通り、AI機能が医療従事者の味方(Ally)となりサポートすることで、心エコー検査の質を高め、精度の向上を目指します。
まとめ
今回はAI機能を搭載したエコーを紹介しました。医療機器にもどんどんAIの技術が活かされてきています。エコーに限らず今後は他の機器でもこのような技術は搭載されていくことでしょう。
医療機器を売りたい、処分したいと思ったらアローズヘルスケアへ!
中古医療機器を売りたい・処分したいと思ったら、法律を遵守し必要な資格を全て有するアローズヘルスケアにお任せください。
業界経験豊富なメンバーがはじめての方でも安心してご利用頂けるように対応致します。 不安なこと、わからないことがあればご納得いただけるまでご説明致します。 なにかございましたら、お気軽にお問合せください!
中古医療機器の販売・買取|アローズヘルスケア|開業・医療設備の導入支援 (arrows-healthcare.com)
| Author - 著者 |
株式会社アローズヘルスケア 〒130-0004 東京都墨田区本所1-11-8
TEL 03-6658-4170 FAX 03-6658-4171 高度管理医療機器等販売業 2墨福衛生薬第14号
医療機器修理業許可証 13BS201448
動物用管理医療機器販売・貸与業届出
古物商 307732004767 産業廃棄物収集運搬業許可 第13-00-243899号 |
| あなたの「売りたい」に答えます |